Ectopic Mediastinal Thyroid Gland. A Case Report and Review of the Literature.
DOI:
https://doi.org/10.2015/hc.v5i2.169Abstract
ABSTRACT
Background: Ectopic thyroid tissue is the result of abnormal migration of the thyroid gland from the floor of the primitive foregut to its pretracheal position.
Case presentation: A case of a 59-year-old man with a posterior mediastinal mass that proved to be ectopic intrathoracic thyroid is presented. The mass was completely excised through a right posterolateral thoracotomy and pathologic examination confirmed multinodular goiter. Relevant literature is briefly reviewed.
Conclusions: Surgical excision is the mainstay of the treatment for almost all mediastinal masses including ectopic thyroid.
KEY WORDS: ectopic thyroid, mediastinum
Downloads
Additional Files
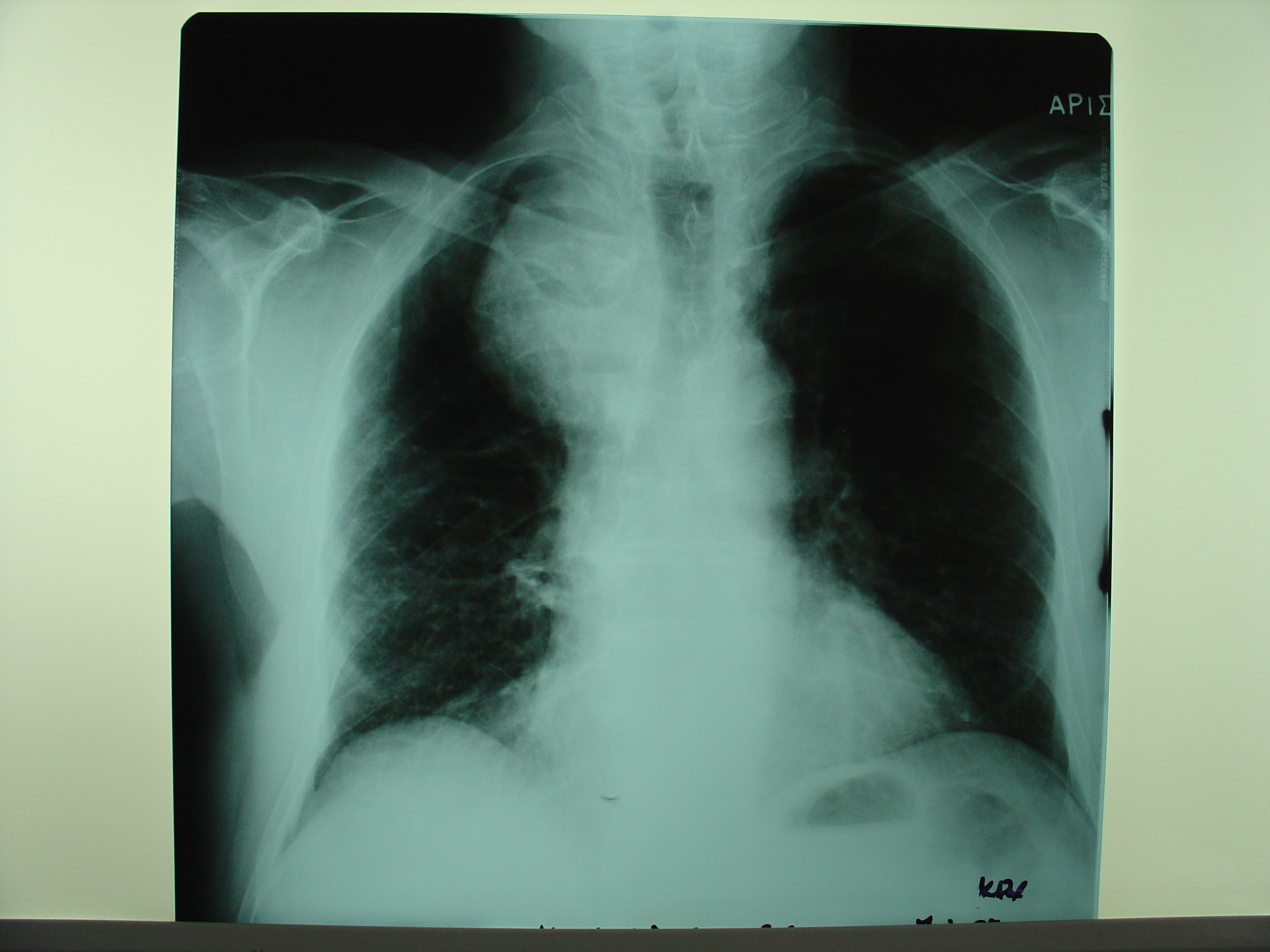
- Figure 1: Chest x-ray revealed a mass in the superior mediastinum with tracheal deviation.
- Figure 2: Intraoperative findings revealed a firm and encapsulated mass in the posterior mediastinum next to the superior vena cava and the trachea.
- Figures 3: Macroscopic appearance of the resected specimen.
- Figure 4: Macroscopic appearance of the resected specimen.
- Figure 5: Histopathologic examination of the mass, using hematoxylin-eosin revealed multinodular goiter (irregularly enlarged follicles with flattened epithelium consistent with inactivity).
Published
Issue
Section
License
Authors who publish with this journal agree to the following terms:a. Authors retain copyright and grant the journal right of first publication with the work simultaneously licensed under a Creative Commons Attribution License that allows others to share the work with an acknowledgement of the work's authorship and initial publication in this journal.
b. Authors are able to enter into separate, additional contractual arrangements for the non-exclusive distribution of the journal's published version of the work (e.g., post it to an institutional repository or publish it in a book), with an acknowledgement of its initial publication in this journal.
c. Authors are permitted and encouraged to post their work online (e.g., in institutional repositories or on their website) prior to and during the submission process, as it can lead to productive exchanges, as well as earlier and greater citation of published work (See The Effect of Open Access).