Severe supravalvular aortic stenosis accompanied with multiple peripheral pulmonary artery stenoses: a delayed diagnosis in an adult patient
DOI:
https://doi.org/10.2015/hc.v5i4.240Abstract
Abstract
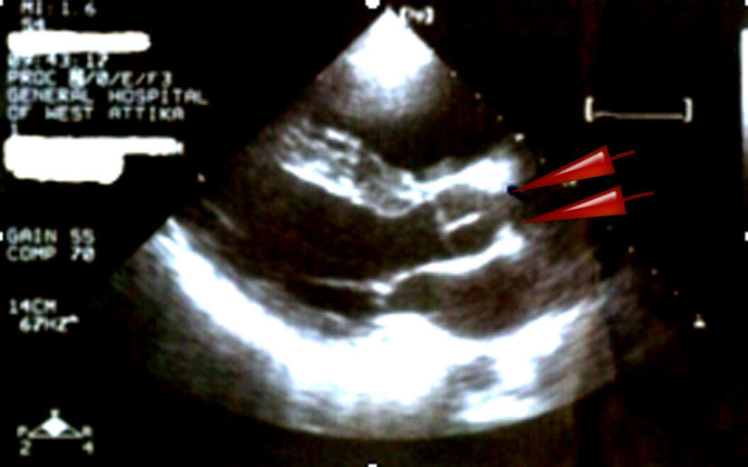
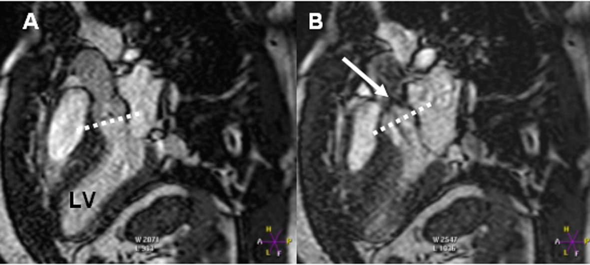
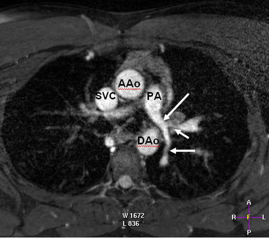
We present a case of a 28 years old male with delayed diagnosis of a severe supravalvular aortic stenosis accompanied with peripheral pulmonary artery stenosis and increased right ventricular pressure. The patient had been diagnosed since he was 3 years old to suffer from pulmonary artery hypertension of idiopathic origin. The diagnosis was made by tranthoracic echocardiography and magnetic resonance imaging.
Downloads
Published
Issue
Section
License
Authors who publish with this journal agree to the following terms:a. Authors retain copyright and grant the journal right of first publication with the work simultaneously licensed under a Creative Commons Attribution License that allows others to share the work with an acknowledgement of the work's authorship and initial publication in this journal.
b. Authors are able to enter into separate, additional contractual arrangements for the non-exclusive distribution of the journal's published version of the work (e.g., post it to an institutional repository or publish it in a book), with an acknowledgement of its initial publication in this journal.
c. Authors are permitted and encouraged to post their work online (e.g., in institutional repositories or on their website) prior to and during the submission process, as it can lead to productive exchanges, as well as earlier and greater citation of published work (See The Effect of Open Access).