Pseudomyxoma Peritonei Presenting as Acute Appendicitis: Clinical and Imaging Findings
DOI:
https://doi.org/10.2015/hc.v7i1.437Keywords:
pseudomyxoma peritonei, appendix, mucocele, ascites, mucinous neoplasmAbstract
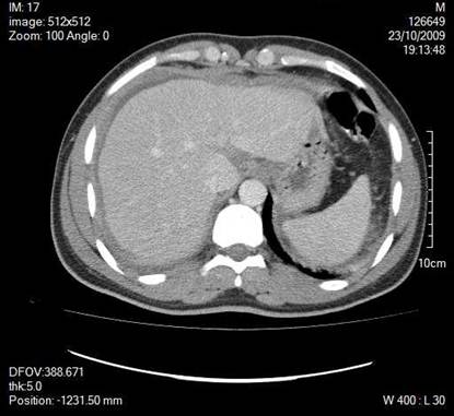
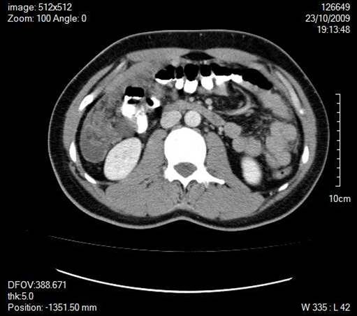
A 30-year old man presented with symptoms and signs of acute appendicitis. Abdominal imaging via ultrasound and computed tomography detected a mass in the right iliac fossa. Exploratory laparotomy revealed an appendiceal mass and gelatinous peritoneal fluid, while histopathology confirmed the diagnosis of pseudomyxoma peritonei arising from a mucocele of the appendix and attributed to an appendiceal cystadenocarcinoma. The clinical and imaging findings of this rare case are herein presented.
Downloads
Published
Issue
Section
License
Authors who publish with this journal agree to the following terms:a. Authors retain copyright and grant the journal right of first publication with the work simultaneously licensed under a Creative Commons Attribution License that allows others to share the work with an acknowledgement of the work's authorship and initial publication in this journal.
b. Authors are able to enter into separate, additional contractual arrangements for the non-exclusive distribution of the journal's published version of the work (e.g., post it to an institutional repository or publish it in a book), with an acknowledgement of its initial publication in this journal.
c. Authors are permitted and encouraged to post their work online (e.g., in institutional repositories or on their website) prior to and during the submission process, as it can lead to productive exchanges, as well as earlier and greater citation of published work (See The Effect of Open Access).