Spot Stenting is Preferable in Long Diffuse Coronary Lesions: Possible Incremental Value of Physiologic and Intracoronary Imaging Modalities
DOI:
https://doi.org/10.2015/hc.v8i2.543Keywords:
coronary artery disease, long lesions, diffuse disease, spot stenting, percutaneous coronary intervention, coronary angioplastyAbstract
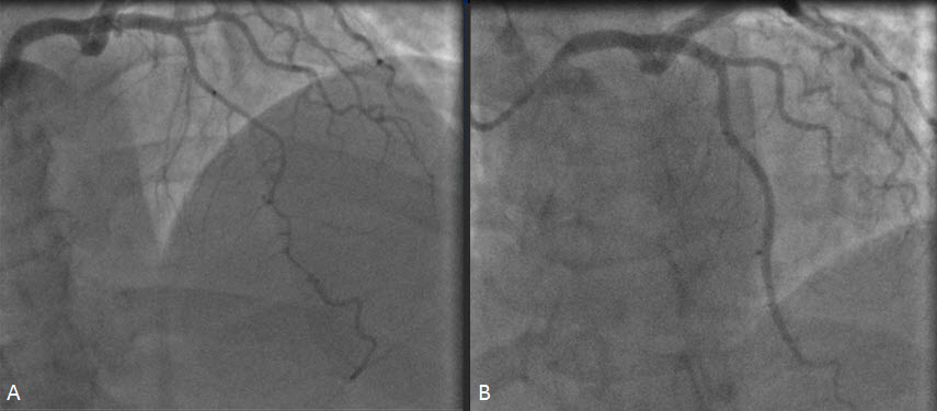
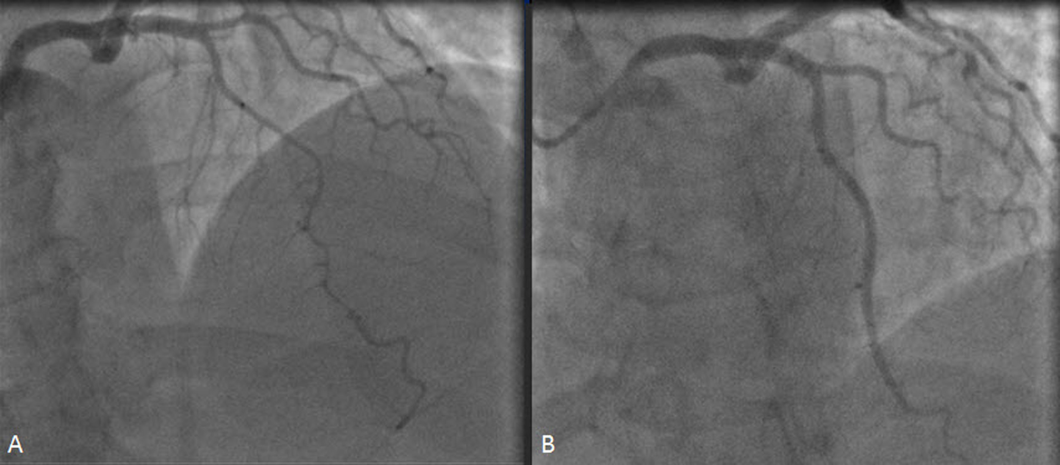
The treatment of long and diffuse coronary lesions with percutaneous coronary intervention (PCI) has been problematic since the era of plain balloon angioplasty. With the advent of bare-metal stents (BMS), long and multiple stents were used to completely cover the diseased segments in order to improve outcomes.  Lesion length has been proven to be a factor related to higher rates of restenosis and target lesion revascularization (TLR) and the risk was further increased by the multiplicity of implanted stents. Covering the lesion with the least number of non-overlapping stents might reduce the risk of restenosis. This strategy, called spot stenting, was initially tested in the BMS era to treat discrete high-grade disease within moderately diseased vessel segments and has been shown to significantly reduce restenosis rates. Drug-eluting stents (DES) have been consistently shown to reduce restenosis and the need for TLR and thus provide improved clinical efficacy compared with BMS. However, even with DES, diffuse disease and long lesions are still associated with an increased risk of restenosis, need for TLR and major adverse cardiac events (MACE). A major long-term concern regarding DES is the potential for stent thrombosis which is increased after complex procedures with implantation of longer, multiple and overlapping stents. Data are limited but recent reports suggest that even when DES are used, selective stenting of only the severely narrowed areas of long lesions reduces the risk of MACE compared to full lesion coverage. The data supporting the spot stenting approach along with some considerations regarding the technique are presented herein.
Downloads
Additional Files
Published
Issue
Section
License
Authors who publish with this journal agree to the following terms:a. Authors retain copyright and grant the journal right of first publication with the work simultaneously licensed under a Creative Commons Attribution License that allows others to share the work with an acknowledgement of the work's authorship and initial publication in this journal.
b. Authors are able to enter into separate, additional contractual arrangements for the non-exclusive distribution of the journal's published version of the work (e.g., post it to an institutional repository or publish it in a book), with an acknowledgement of its initial publication in this journal.
c. Authors are permitted and encouraged to post their work online (e.g., in institutional repositories or on their website) prior to and during the submission process, as it can lead to productive exchanges, as well as earlier and greater citation of published work (See The Effect of Open Access).