Sinotubular Junction Remodeling with Aortic Cusp repair. An alternative to Bentall operation for Ascending Aortic aneurysm with Aortic Valve Regurgitation.
DOI:
https://doi.org/10.2015/hc.v8i4.558Keywords:
Ascending aortic aneurysm, Aortic valve regurgitation, Aortic valve repair, Aortic valve sparing operationsAbstract
We present a 72-year-old female patient with ascending aortic aneurysm and aortic valve regurgitation, who was referred for surgery.
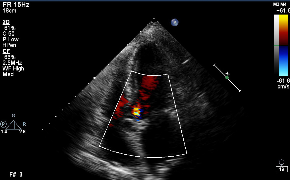
Preoperative echocardiography demonstrated a dilated sinutubular junction (STJ), preserved sinus dimensions and moderate to severe aortic valve insufficiency with central regurgitant jet.
During surgery, comprehensive visual assessment of aortic cusp configuration revealed prolapse of the non-coronary cusp, which was repaired by appropriate techniques. Ascending aorta pathology was corrected with sinutubular junction remodelling (STJR).
The combination of STJR and cusp repair is an excellent alternative to root replacement with no prosthesis-related long term complications.
Downloads
Published
Issue
Section
License
Authors who publish with this journal agree to the following terms:a. Authors retain copyright and grant the journal right of first publication with the work simultaneously licensed under a Creative Commons Attribution License that allows others to share the work with an acknowledgement of the work's authorship and initial publication in this journal.
b. Authors are able to enter into separate, additional contractual arrangements for the non-exclusive distribution of the journal's published version of the work (e.g., post it to an institutional repository or publish it in a book), with an acknowledgement of its initial publication in this journal.
c. Authors are permitted and encouraged to post their work online (e.g., in institutional repositories or on their website) prior to and during the submission process, as it can lead to productive exchanges, as well as earlier and greater citation of published work (See The Effect of Open Access).