Uncommon Cardiomyopathies
DOI:
https://doi.org/10.2015/hc.v9i3.576Keywords:
cardiomyopathy, Fabry disease, left ventricular hypertrophy, non-compaction cardiomyopathy, ventricular trabeculationsAbstract
Anderson-Fabry Disease (AFD) is an X-linked recessive lysosomal disorder, leading to multisystemic disease because of abnormal glycosphyngolipids widespread accumulation, the result of α-galactosidaseA deficient activity. Cardiac involvement is common; includes left ventricular hypertrophy and gradually impairing cardiac function. Although the disease is unveiled in childhood and culminates in cardiac, cerebrovascular and end-stage renal disease, diagnosis is often delayed or missed. Recently established enzyme replacement therapy (ERT) may improve most of the disease’s manifestations. Early diagnosis is thus crucial for AFD patient management.
Isolated non-compaction of the ventricular myocardium (IVNC) is a rare congenital form of cardiomyopathy. It is characterized by the postnatal persistence of the embryonic pattern of myoarchitecture, consistent of prominent trabeculations and deep intertrabecular recesses, and assumed to occur as a consequence of intrauterine arrest of myocardial compaction. Contemporary diagnosis has been facilitated by the introduction of specific morphologic criteria by echocardiography and magnetic resonance imaging. Management issues revolve around the management of heart failure, arrhythmias and thromboembolic events in order to prevent the significant morbidity and even mortality that has been associated with this entity. Significant overlapping with many other forms of cardiomyopathies suggest that non-compaction may be a morphologic trait rather than a distinct cardiomyopathy.Downloads
Additional Files
- Electron microscopic ultrastructure of lysosomal glycolipid accumulation (“vacuolizationâ€) in a cardiomyocyte. [Milan Elleder, Charles University, Prague]
- Angiokeratoma a) on the hands b) periumbilically c) on the lips. [Beck M: “Fabry disease, 2nd ed. 2007â€]
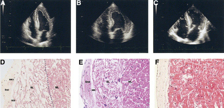
- Two-dimensional echocardiography in 4CH-apical view and LV endomyocardial biopsy from two patients with AFD (A,D and B, E) and a patient with sarcomeric HCM (C,F). Comparison of the three echocardiographic frames reveals the presence of a binary appear
- ECG showing LVH, repolarization abnormalities and short PR interval in AFD.
- The process of normal trabecular compaction. (A) at first six weeks of fetal life, (B) at 12 weeks and (C) completion of myocardial compaction. [Sedmera et al. Anat Rec 2000;258:319-37]
- X/Y ratio calculation. X: the distance from the epicardial surface to the trough of the trabecular recess, Y: the distance from the epicardial surface to peak of trabeculation. [Chin et al. Circulation 1990;82:507-13] (permission granted)
- N/C ratio calculation. N: non-compacted, C: compacted LV wall segment. [Jenni et al. Heart 2001;86:666-71] (permission granted)
Published
Issue
Section
License
Authors who publish with this journal agree to the following terms:a. Authors retain copyright and grant the journal right of first publication with the work simultaneously licensed under a Creative Commons Attribution License that allows others to share the work with an acknowledgement of the work's authorship and initial publication in this journal.
b. Authors are able to enter into separate, additional contractual arrangements for the non-exclusive distribution of the journal's published version of the work (e.g., post it to an institutional repository or publish it in a book), with an acknowledgement of its initial publication in this journal.
c. Authors are permitted and encouraged to post their work online (e.g., in institutional repositories or on their website) prior to and during the submission process, as it can lead to productive exchanges, as well as earlier and greater citation of published work (See The Effect of Open Access).